Malaria Intervention Modeling Project
Optimizing Chemoprevention and Vaccine Strategies in High-Burden African Countries


Malaria Prevention Strategies
Evaluating the impact of chemoprevention and vaccines across Africa


Community Health Workers
Training healthcare providers in malaria prevention techniques


Vaccination Programs
Implementing WHO-approved malaria vaccines in high-burden regions


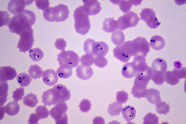
Malaria Parasite Under electronic Microscope


Child Health Protection
Focusing on interventions for children under five who are most vulnerable
Addressing Africa's Malaria Burden
Malaria remains one of Africa's most devastating public health challenges, with the continent bearing over 90% of global malaria deaths. Children under five are particularly vulnerable, accounting for approximately 80% of all malaria mortality in Africa.
Our project focuses on modeling the health impact and cost-effectiveness of combining malaria chemoprevention strategies with the new generation of malaria vaccines to optimize intervention approaches in high-burden settings.
The Malaria Challenge: Key Facts
Project Rationale
Bridging the Implementation Gap
Current Challenges
- • Global Technical Strategy for Malaria 2016–2030 is 44% off-track
- • Projected 88% deviation from targets by 2030
- • Limited evidence for optimal intervention combinations
- • Implementation barriers in high-burden countries
Our Approach
- • Comprehensive modeling of intervention strategies
- • Cost-effectiveness analysis for decision-making
- • Capacity building for African researchers
- • Policy translation for implementation