OPTIC-TB Project
Optimizing Childhood TB Treatment Decision Algorithms in sub-Saharan Africa

OPTIC-TB Project Launch
Kick-off meeting in Dar es-Salaam, Tanzania with over 50 participants from 4 countries

Research Team Collaboration
International partners working together to optimize childhood TB treatment algorithms

Healthcare Impact
Strengthening healthcare systems across sub-Saharan Africa for better child health outcomes

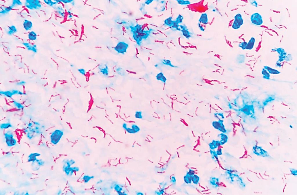
AFB under electronic microscope
Addressing a Critical Public Health Imperative
The global community recognizes the profound impact of tuberculosis (TB) on vulnerable populations, particularly children. While significant strides have been made in TB control, the burden of childhood TB remains a critical public health imperative, especially in sub-Saharan Africa.
The OPTIC-TB project is committed to contributing to this vital effort by optimizing childhood TB diagnosis and treatment through innovative and evidence-based interventions.
Understanding the Diagnostic Challenges
We understand the inherent complexities of diagnosing TB in young children, particularly in resource-limited settings:
Project Launch
Kick-Off Meeting - Dar es-Salaam, Tanzania
Event Details
- • August 2024, Dar es-Salaam, Tanzania
- • Over 50 participants from 4 countries
- • Organized by NIMR and KIUT
- • First collective gathering of all partners
Meeting Highlights
- • Project objectives and work package reviews
- • Data collection tools evaluation
- • PhD candidates concept presentations
- • EDCTP program overview by Dr. Erika Gaspari